PreFormance® Posts, Temporary and Titanium Cylinders
Provisional Components for Certain® Internal & External Hex Implant Connections

Provisional Restorations
Certain® and External Hex Implants
PreFormance® Posts, Temporary and Titanium Cylinders

Provisional Components Advantages
Ease of Use and Versatility
- Components can be immediately customized to a patient’s anatomical profile
- Components are made of polymer material for easy preparation
Prosthetic Flexibility
- Available for implant and abutment-level provisional restorations
- Available in internal and external hex connections
Versatile Solutions for Patients Who Demand More Choices and Faster Results
Provisional Components Options
PreFormance Post
- For use with cement-retained restorations
- Available in straight or 15° pre-angled for easy angle correction
- Smooth surface for easy provisional reline
- Flat side for anti-rotation
Temporary Cylinders
- Indicated for screw-retained restorations
- Knurled surface for mechanical retention of resin restorative material
- Available in hexed and non-hexed for single or multiple-unit restorations
QuickBridge® Titanium Cylinder and Peek Cap
- Provide a simple solution for the fabrication of multiple-unit, provisional restorations on definitive Low Profile Abutments
- All components are compatible with straight and angled Low Profile Abutments
- Ability to provisionalize chairside
PreFormance Provisional Case Study
By: Dr. Harold Baumgarten†, Philadelphia, Pennsylvania
If you seek aesthetic implant level provisional restorations, PreFormance Provisional Components may be customized chairside or at the laboratory for specific contours and anatomic profiles.
Fig. 1. NanoTite® Certain Implant in place. The bone was profiled around the interface.
Fig. 2. A PreFormance Post was seated into the implant.
Fig. 3. The PreFormance Post was prepared intraorally to follow the gingival contours.
Fig. 4. The prefabricated crown shell was luted to the PreFormance Post.
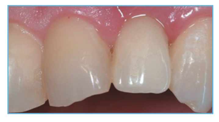
Fig. 5. The provisional restoration was fabricated, occlusal and interproximal contacts were checked, adjusted accordingly, and delivered to the patient.
Fig. 6. A periapical radiograph was taken of the provisional restoration.